– Пластика уздечки языка диодным хирургическим лазером

Пластика уздечки языка диодным хирургическим лазером

Процедуру провёл
Процедуру провёл
Голотин Александр Витальевич
Врач стоматолог-хирург, стоматолог-ортопед, стоматолог-терапевт

Выполненные процедуры

Красивая и аккуратная работа, по пластике уздечки языка. Короткая уздечка сильно ограничивает положение и движение языка. Процедура проведена диодным хирургическим лазером, быстро и безболезненно.

Результаты лечения

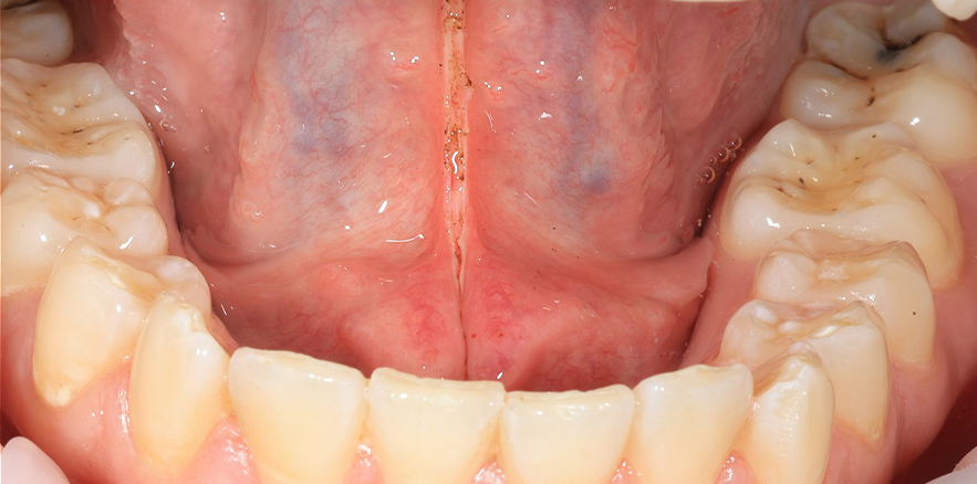
До лечения
До лечения
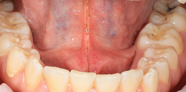
После лечения
После лечения
Заказать звонок
Оставьте заявку и мы поможем записаться на удобное для вас время
Запись Врачи Услуги Контакты ЛК
Заказать звонок
Оставьте заявку, и мы перезвоним вам в ближайшее время
Остались вопросы?
Заполните форму, мы свяжемся с вами в ближайшее время и ответим на все вопросы
Записаться на приём
Оставьте заявку и мы поможем записаться на удобное для вас время